Restore natural teeth with the new Highly Translucent Multi-Layered
Available through NobelProcera®

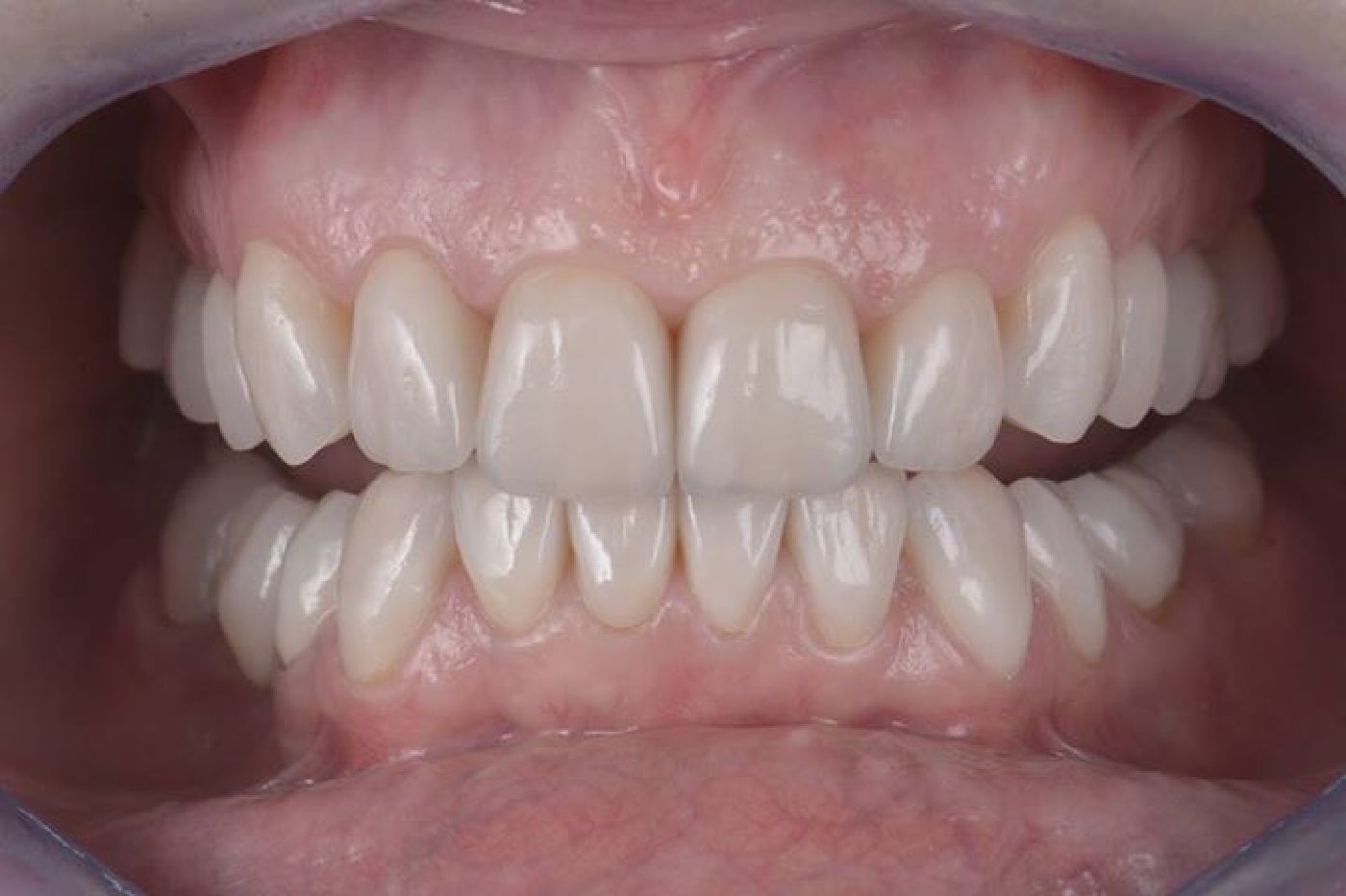
IPS e.max is a lithium disilicate glass ceramic that has optimized translucency, durability and strength for full anatomical restorations. Due to the use of new technologies and optimized processing parameters, IPS e.max lithium disilicate has evolved beyond previously available lithium disilicate ceramics.
IPS e.max lithium disilicate restorations exhibit superior durability featuring 360-400 MPa of flexural strength.The opalescence, translucency and light diffusion properties of IPS e.max lithium disilicate were all designed to replicate natural tooth structure for beauty and undetectable restorations.

ADDRESS
1 / 700 Burke road
Camberwell , Victoria
Australia
CONTACTS
Email: info@creativedentallabs.com
Phone:(03) 98821100
Fax: (03) 98826100
LINKS